人工膝関節
膝関節の仕組み
膝関節は、「大腿骨(太ももの骨)」、「脛骨(すねの骨)」、「膝蓋骨(お皿の骨)」からなる関節です。膝関節の周りにはさまざまな筋肉や靭帯があり、安定性を保ったまま曲げ伸ばしをすることができます。正常な膝関節の骨の表面は「関節軟骨」というクッションで覆われており、痛みなく滑らかに関節を動かすことができます。膝関節は「関節包」という袋に包まれており、その中にある「関節液」という液体が潤滑油の働きをしています。
主な膝関節の疾患
①変形性膝関節症
加齢などによって関節軟骨が摩耗して変性し、膝関節が変形する疾患です。関節軟骨の摩耗が進行すると、関節の表面の骨が露出し、骨と骨がすれあって削れてしまうこともあります。主な症状は、膝関節の痛み、腫れ、変形(O脚やX脚)、動きの制限です。
②関節リウマチ
全身の関節に起こる炎症性の疾患です。原因はまだはっきりとは解明されていませんが、自己免疫疾患であると考えられています。自己免疫疾患とは、本来は異物を排除する免疫系が、自分自身の細胞を攻撃してしまうことで様々な症状を起こす疾患です。関節リウマチによる関節炎の主な症状は、こわばり、痛み、腫れなどですが、進行すると関節軟骨や骨が破壊され、股関節の変形を生じる場合もあります。
③大腿骨内顆骨壊死症
大腿骨の内顆(内側の荷重部)の骨組織の一部が脆くなって骨折し、陥没する疾患です。初期にはレントゲンでは診断がつかないことが多く、MRIという検査によって早期診断が可能です。進行すると大腿骨の関節面が陥没し、末期の変形性膝関節症になってしまうこともあります。
人工膝関節置換術
人工膝関節置換術とは、傷んで変形した関節を人工の関節に置き換える手術です。人工関節の表面は滑らかで神経もないため、この手術を受けることによって、関節は滑らかに動くようになり、痛みもほとんど感じなくなります。また、O脚やX脚に変形した膝が、手術によって真っすぐな膝になります。痛みなく歩けるようになると、日常生活を送りやすくなり、生活の質(QOL)を改善することができます。

手術では、まず変形して傷んだ大腿骨と脛骨の表面の骨を切除します。大腿骨側と脛骨側の骨にそれぞれ金属製の人工関節(大腿骨・脛骨コンポーネント)を固定します。脛骨コンポーネントの上面に超高分子量ポリエチレン製の人工の軟骨(インサート)を設置します。人工膝関節は大腿骨コンポーネントとインサートの間で滑らかに動く構造になっています。
変形が非常に強いと、骨が欠損していることがあります。人工関節を支える骨が足りない場合、手術中に切除した骨(自家骨)や人工骨を移植することがあります。特殊なインプラントを使用する場合もあります。
手術時間は変形の程度などによって違いますが、約2時間程度です。麻酔の時間、手術の準備の時間、手術後レントゲン撮影の時間などを含めると、手術室の中にいる時間は約3~3.5時間程度です。
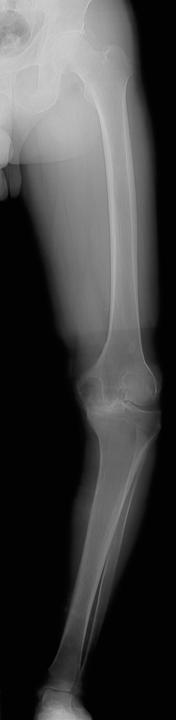
![]() 術前レントゲン |
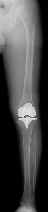
![]() 術後レントゲン |
3次元の術前計画とオーダーメイドの骨切りガイド
最適な位置に最適なサイズの人工膝関節を設置するためには術前計画が非常に重要です。従来の方法では2次元のレントゲン画像を用いていましたが、当院では術前に撮影したCTの画像データをコンピューターに取り込み、コンピューター上で3次元の術前計画を立てています。手術中はポータブルナビゲーションシステムを用いて計画通りに設置できるようにしております。
また、症例によっては個々の患者さんの骨の形状に合わせて3Dプリンターを用いて骨モデルとオーダーメイドの骨切りガイドを作製しています。術中にこの骨切りガイドを使用することで、術前にコンピューター上で計画した通りに正確に骨切りすることができます。従来の方法と比べて、より正確に人工関節を設置することができ、侵襲が少ない手術方法です。
手術を受ける前に
①インフォームドコンセント(説明と同意)
手術に関して十分に理解した上で、手術を受けていただくことが大切です。何か疑問がある場合は、遠慮なくお聞きください。治療方針に関して他の施設の意見(セカンドオピニオン)を希望される場合はお申し出ください。
②術前検査
手術をできるだけ安全に受けていただくために、術前に血液検査、尿検査、心電図、レントゲンなどの検査をします。検査結果次第では、より精密な検査を受けていただいたり、他の診療科を受診していただくこともあります。
③お薬の確認
服用中のお薬を確認します。血液をさらさらにするお薬など、手術の前後に一時的に服用を中止する必要のあるお薬もあります。入院中も内科医の診察が必要な場合は、内科の担当医も併診いたします。
手術に伴う合併症、リスクについて
100%安全な手術というのはあり得ません。どのような手術でもリスクは伴います。当院では安全管理には十分注意を払っていますが、以下のような合併症が起こる可能性があります。もし何か合併症が起こった際には、他の診療科とも連携して必要な検査や治療を行います。
①出血
人工関節の手術では骨を削る必要があり、術中に削った骨の表面からある程度の出血を生じます。当院では止血方法を工夫しており、輸血が必要になるほど貧血が進行することはほとんどありませんが、どうしても対応できない場合は通常の輸血(同種血輸血)が必要になることがあります。
②感染
まれに術後に細菌感染を起こすことがあります。一度感染を起こすと、長期間の抗生剤の投与が必要になったり、場合によっては再手術が必要になることもあります。
③術中骨折
人工膝関節を骨に設置する際、骨がもろいと骨折(ひび)を起こすことがあります。もし術中に骨折した場合、追加の固定が必要になることがあります。
④下肢深部静脈血栓症、肺塞栓症
術中または術後に脚の血流が悪くなり、静脈に血栓(血の塊)ができることがあります(エコノミークラス症候群)。静脈の壁から血栓がはがれ、血流に乗って肺の血管をふさいでしまうと生命に関わる可能性もあります(肺塞栓症)。血栓の予防のため、術後早期からよく足を動かすことが重要です。当院ではさらに、弾性ストッキング、フットポンプ(脚を自動的にマッサージする器械)、抗凝固薬(血を固まりにくくする薬)などを使って予防しています。
⑤神経損傷
皮膚の表面にも細い神経が通っており、手術の際に傷めることがあります。神経を傷めると、術後に創の周りがしびれたり、皮膚の感覚が鈍くなったりすることがあります。多くの場合は時間とともに軽減しますが、完全に回復しないこともあります。
⑥膝の可動域(曲げ伸ばし)の制限
人工膝関節は痛みをとるための手術であって、可動域は正常に戻るわけではなく、正座など膝を深く曲げる動作は困難です。術中、麻酔がかかった状態では良好な可動域になるように調整しますが、術前の状態や術後のリハビリの経過などによっては、術後に可動域の制限が残ることがあります。
⑦人工関節のゆるみ、摩耗
人工関節の材質は以前のものよりも向上していますが、術後に少しずつ人工関節が擦り減ったり、ゆるんだりすることがあります。術後の活動性、筋力、体重などによって違いますが、一般的には人工関節の寿命は20~30年程度と言われています。もし擦り減ったり、ゆるんだりした場合は、人工膝関節を入れ替える手術(人工膝関節再置換術)が必要になることがあります。また、人工関節の周囲の骨が弱くなってくると、転倒した際に人工関節周囲での骨折を生じることがあります。
術後~退院まで
基本的には入院スケジュール表(クリニカルパス)に従って、術後のリハビリや検査(レントゲン、採血など)を行います。術翌日から立位訓練や可動域訓練を行います。年齢、術前の膝関節の変形の程度や筋力などによって、術後の経過には個人差があります。入院期間は平均術後3週間程度ですが、歩行が安定していれば早期の退院も可能です。長期の入院リハビリを希望される場合は、地域包括ケア病棟での入院リハビリを継続することも可能ですのでご相談ください。
退院後について
退院したら治療が終わるわけではありません。自宅での生活に少しずつ慣れていくこともリハビリです。退院後は洋式の生活(椅子、テーブル、ベッド、洋式トイレなど)が望ましいですが、十分に注意すれば和式の生活(布団など)も可能です。また、長期間安心して過ごしていただくには、調子が良くても定期的に病院で検診を受けることが重要です。



